各歯科治療について
レーザー治療(安心・安全な歯科用レーザー治療のメリット)
安全な治療を実現するパルス発振型 Nd:YAGレーザーによる治療です。
ほとんどの症例で麻酔を使わずに治療が可能となっております。
レーザー治療は次の症状に効果的です。
* 虫歯の治療・予防(歯の表面の強化)
* 口内炎・入れ歯の接触痛(痛みの軽減)
* 歯肉切除 (萌出遅延の歯の歯茎の切開)
* 根管治療(歯の根っこ・神経の治療)
* 止血(歯を抜いた後の止血)
* 歯グキの黒ずみ(メラニン色素の除去)
* 知覚過敏症(冷たいものがしみる方)
* 歯周病・歯槽膿漏の治療
* 顎関節症(あごの関節が痛む方)
* その他(いろいろな治療に)
当院が導入している歯科用レーザーは、副作用リスクが非常に低く、妊娠中の方やペースメーカーをご利用の方など、幅広い患者様が安心して治療を受けられるよう配慮された機器です。
※ 治療内容(主に審美治療)によってはいくらかの自己負担をいただくこともございますので お気軽にお問い合わせください。
【youtube動画解説】歯科用レーザー治療の安全性と活用方法
⇒画像をクリック副作用の少ないレーザー治療とは? そのメリットと使用方法を動画で解説します
ホワイトニング
ホワイトニングとは加齢や着色で変色してしまった歯を薬品を用いて削らずに白くする方法です。 ただし、差し歯のような人工の歯やテトラサイクリンなどの抗生物質によって変色してしまった歯には効果がありません。そのような場合はかぶせ物等で対処する方法もありますのでご相談ください。
当院では主に自宅でするホームブリーチングを行っています。
上下顎25000円(税別)より行っております。
どちらか片方15000円(税別)追加薬剤5000円(税別)となります。
ホームホワイトニング
型を採ってそれぞれの人の歯に合った専用トレー(マウスピース)を作り、 薬液を入れてご家庭で歯に5~8時間装着する方法です。睡眠中にすることができます。個人差はありますが2週間~1か月ほどかかります。
(特徴) 白くなるのに時間はかかりますが、色の後戻りが少なく、長い期間白さを保つことができます。
ホームホワイトニングは少し長くかかりますが、効果も確実に出て医院内でする オフィスホワイトニングに比べて白さが長持ちします。
ホワイトニングの後白い色を長持ちさせるために着色汚れの原因になるコーヒー、お茶、カレーなどを摂取した後はすぐに落とすようにすることで色が戻るのを防止する方向に働きます。飲食やタバコの後は水ですすぐようにして気を付けるようにしましょう。

当院のホワイトニングの様子を簡単にyoutubeで説明しています。
画像をクリックしてください。⇒
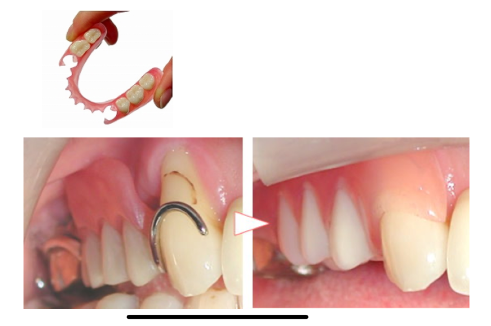
ノンクラスプデンチャー
スマイルデンチャー ![]()
『快適な入れ歯』をお探しの方へ 保険外にはなりますが、ばねがなく(金属 が目立たない)審美性のいい、また残っている歯にも優しい各種ノンクラスプデンチャー(主にスマイルデンチャー)を取り扱っており、患者様の症例にあった入れ歯を選択させていただいております。このスマイルデンチャーは薄く弾性がありますがひねってもねじっても割れません。FDA(米国食品医薬品局)認証済み、世界30カ国で利用される安心素材でてきています。インプラントにできない、したくない患者様にも審美を提供できます。患者様に合わせた最適な入れ歯をご紹介させていただいております。
また スマイルデンチャーは、金属のバネを使わず装着しても目立ちにくい入れ歯です。 特別な手術や残っている歯を削る必要がなく、しなやかで割れにくいので、踏んでしまっても壊れにくい素材です。非常に薄く、軽いので装着していても違和感を感じづらいのも特徴です。
〈費用〉 1~3歯 99,000円 4~6歯 121,000円 7~9歯 143,000円 10~13歯 176,000円 多数歯欠損(歯がたくさんない場合)でたわみ防止のために入れ歯本体である床部分に金属を使用する際は
コバルトクロム 77,000円 チタン 121,000円 またシリコン追加の場合は77,000円がかかります。(税込)
ウェルデンツ
歯をあまり削らないコンパクトな入れ歯をはじめ、金具のないタイプの入れ歯など残っている歯を削らずにうまく使いながら、ウェルデンツの特殊樹脂を使うことによっていままでにできなかった物ができるようになりました。
ウェルデンツは多年の研究を経て幾多の臨床検査を終え、厚生労働省より認可を受けた独自開発の樹脂材料を(薬事認可製品)活用し、製作された口腔内補綴治療製品(入れ歯、被せ物等)です。また、本製品は使用材料並びに口腔内補綴物製品共に世界特許取得製品です。
(ウェルデンツの特性)
・無菌性樹脂素材のため、洗浄剤をほとんど必要としません。
・アレルギーの原因にならないので安心です。
・薄くて軽くて丈夫です。
・審美性に優れています。
・装着感に優れています。
・長期使用においても臭いません。
・お口の中が広く清潔になります。
・優しい素材のため天然歯を痛めません。
・とても経済的です。
・金属は一切使用しないので安全です。
料金は1~3歯 99,000円 4~6歯 121,000円 7~9歯 143,000円(税込)となります。
コンフォートデンチャー
コンフォートは、硬い入れ歯の裏面を生体用シリコーンというクッションで覆う、全く新しい入れ歯の技術です。生体用シリコーンの弾性が、入れ歯でグッと噛んだときの歯ぐきにかかる負担をやわらげ、驚くほどの吸着力を発揮。「痛い・噛めない・外れやすい」といった、従来の入れ歯の悩みを解消するとともに、あなたの歯ぐきをやさしく守ります。 ※今お使いの入れ歯にも加工できます。ただし、入れ歯の材質によっては、加工できないものもあります。
料金は1顎で286,000円(税込)になります。
●コンフォートの3大メリット
◎歯ぐきを優しく保護して守る。
◎クッション素材で痛みを和らげ軽減させる。
◎抜群の吸着力で外れにくい。
★かむ力が通常の入れ歯の2倍に! 生体用シリコーンの柔軟性が痛みを緩和し、以前よりしっかりと噛めるようになります。
★変質や劣化がほとんどなくはがれにも強い! 生体用シリコーンを使っているので変質や劣化に強く、柔らかさが長期間持続します。 また特殊な加工技術により、これまでの軟性裏装材に比べて飛躍的に剥がれにくくなりました。
MTAセメント治療
虫歯が深い場合の治療選択肢:MTAセメントによる神経保存治療
虫歯が神経(歯髄)に近いほど、治療の選択が歯の寿命に大きく影響します。 従来は「神経を取る根管治療」が一般的でしたが、近年では「神経を残す治療」が注目されています。 当院では、神経を保存する選択肢のひとつとして「MTAセメント」を用いた治療を行っています。 MTAセメントとは? MTAセメント(Mineral Trioxide Aggregate)は、歯科用に開発された特殊なセメントです。 生体親和性が高く、神経の近くでも安全に使用できるのが特徴です。 細菌の侵入を防ぐ封鎖性に優れ、神経の保護や石灰化を促す作用があります。
治療の流れ
① 虫歯を丁寧に除去します
②神経の状態を確認し、保存可能かどうかを判断します
③ 神経の近くにMTAセメントを充填します
④ 封鎖材や修復材でしっかりと覆い、経過を観察します 。
神経を残すことで、歯の寿命を延ばすことが期待できます。
適応症
・虫歯が深く、神経に近いが、炎症が軽度である場合
・神経が露出してしまったが、保存可能と判断された場合
・根管治療後の封鎖材として、再感染を防ぎたい場合
※すべての症例に適応できるわけではありません。診査・診断のうえ、歯科医師が判断いたします。
費用について(自費診療)
MTAセメントによる治療は、保険適用外の「自費診療」となります。 費用は治療内容や部位によって異なりますので、詳しくはドクターまでお尋ねください。
ご相談ください
「できるだけ神経を残したい」「歯を長く使いたい」とお考えの方は、ぜひご相談ください。
患者さんの状態やご希望に合わせて、最適な治療法をご提案いたします。
【関連Youtube】→MTAセメント治療
ドックベストセメント治療
Doc's Best Cement治療
セメントの殺菌力によって歯の病巣の無菌化を図ります。セメントの成分である殺菌力を持つ鉄イオンと銅イオンを放出することによって虫歯の菌を退治する方法です。適応症例はありますが,
今まで神経を取らないといけないような大きな虫歯の歯の神経を取らずに残し、象牙質の再石灰化を促すことができるようになりました。歯をあまり削らなくて済み、麻酔もしないし痛みのない治療でもあります。
今までの治療は虫歯の部分を完全に取りきるため大きく削ることがありました。虫歯が深く達している場合は麻酔をして神経を取ってと言う治療が普通でした。でもこの治療は神経を取る治療のように長くかかりません。すなわち治療回数も少なく済みます。またドックベストセメントは歯の根の病気の殺菌効果も期待できます。
薬の効果も半永久的に続き、3mixーMP法のようにアレルギーの心配もありませんので 安心して使うことが出来ます。
ドックベストセメント治療の流れ
①神経に近い部分があるような大きな虫歯でも取らずに残す。
②虫歯部分を洗浄後、薬液とセメントの合わせたものを塗布しドックスベストセメントで封鎖する。
③詰め物をして1年程度経過を見て虫歯が治っているか確認後最終のかぶせ物に移行。
デメリットとしましては完全に神経に達しているような痛みのひどい虫歯に使えないこと。 C0,C1の小さな虫歯に使うことができない点はご了承ください。
また、ドックスベストセメントはアメリカでは公的機関での厳しい審査で認可を受け、商品化をされていますがまだ日本では未認可のセメントのため、保険がきかないので自費治療ということになります。
ただ、歯にとって神経を取らないやさしい治療になるので結果的に歯の寿命を長く保つこともできる画期的な治療法でもあります。
※現在、材料のセメントが入手できない状態になっていますのでドックベストセメント治療を停止しています。
【関連Youtube】→ドックベストセメント治療
審美歯科
セラミック治療とは、虫歯治療などで削った歯をセラミックで補う治療です。セラミックは陶器と同じ素材で、天然歯と似た色や質感、透明感を再現できるため、審美性に優れています。
セラミック治療のメリットには、次のようなものがあります。
・歯や歯茎との馴染みがよく、虫歯や歯周病のリスクが軽減される
・金属によるアレルギー症状が起こるリスクが少なく、歯肉の変色を防ぐことができる
・保険診療で使われる材料よりも精度に優れ、経年劣化が少ない。
白く審美性や強度に優れた従来の金属にセラミックを焼き付けたメタルボンドの他にセラミック(陶器)とレジン(プラスチック)を混ぜた材料のハイブリッドセラミックインレーやクラウン、またジルコニアやセラミックによる修復も取り扱っております。ジルコニアはジルコニアという人工ダイヤモンドとも呼ばれるセラミック素材とセラミックで構成された被せ物です。強度と耐久性に優れているため、前歯や奥歯の治療に幅広く使用されています。
またセラミックは強度はジルコニアには劣りますが透明感を再現でき、審美性に優れています。
いずれもメリット、デメリットがありますのでよく説明をいたしますのでご自分の状態にあった最適な素材を選べることができれば幸いです。
最近CADCAM冠というかぶせ物で保険で白くできるケースも増えました。CADCAM冠の特徴は、白い色で審美性が高く、金属アレルギーの心配がないことです。また、天然歯に近い硬さなので、対合歯に優しいです。しかし、透明感や色調の再現性は低く、表面が劣化しやすく、強度も銀歯やセラミックに劣ります。
白色の素材は3種類ありますが、「美しさでは、最高峰」というのが、陶材です。 「もろさという特性上、強度の高い金属に焼き付ける形で使われるケースが多かったのですが、最近では性能も進化し、二ケイ酸リチウムガラスセラミックやジルコニアという素材が開発され、この素材のみでオールセラミックとして被せることができるようになりました。日本人にとって自然な歯の色の研究は非常に長い歴史があるだけあって、陶材は他の素材に比べて本当に自然で美しいです。歯ぎしりなどの習慣があれば強固な金属の材料をおすすめすることもありますが、そうでなければ、審美的にはオールセラミック(陶材やガラスセラミック、ジルコニア)が一番優れていると思われます。
| かぶせ物 | 特徴・価格(税込) | ||||||||||
|---|---|---|---|---|---|---|---|---|---|---|---|
| CADCAM冠 | 【標準治療】 プラスチック素材。経年劣化による変色やすり減りがおこり、強度の面で自費素材には劣ります。 保険適用される白い歯で、限られた部位に使用できる。 歯に負担が少ない。 金属アレルギーの心配がない。 表面にプラークがつきやすい。 ・保険1~3割負担 |
||||||||||
| ハイブリッドセラミック | セラミック(陶器)とレジン(プラスチック)を混ぜた材料で自然な色合いを再現できる。 歯に負担が少ない。 経年による変色が起こることがある。 金属アレルギーが起こりにくい。 ・27,500円 ~33,000(インレー) 55,000円(冠) |
||||||||||
| メタルボンド (メタルセラミック) |
貴金属のフレームにセラミック(陶材)を焼き付けた強度と審美性を持つ素材。 自然な色合いで変色の心配がなく、金属で補強されているので耐久性がある。 【信頼の実績】 金属で裏打ちされたセラミック。長年愛用されている、耐久性と適合性に優れた素材です。 経年により歯と歯ぐきの境目が黒く見えることがある。 ・99,000円 (冠) |
||||||||||
| オールセラミック(e.max) | 【天然歯のような輝き・虫歯予防】 歯と化学的に強力に一体化するため、隙間から虫歯が再発するリスクを低く抑えられます。小臼歯や前歯におすすめ。 歯科用セラミックのみで作った歯の被せ物や詰め物などの治療材料。 天然歯に近い透明感やツヤがあり、審美性や機能性に優れる。 歯ぐきとの境目の変色を起こさず金属アレルギーの心配がない。 ・38,500円~44,000円(インレー)88,000円(冠) |
||||||||||
| ジルコニア | 人工ダイヤモンドで強度、審美性、体への優しさを兼ね備えた素材。 天然歯に近い白さと透明感を再現できる。 変色の心配がなく耐久性がある。 歯と歯ぐきの境目の黒ずみがおこらない。 金属アレルギーの心配がない。 ◎スタンダード・ジルコニア(【圧倒的な耐久性】 人工ダイヤモンド並みの硬さを持ち、絶対的な割れにくさを誇ります。歯ぎしりのある方や一番奥の歯に。高強度タイプ) ・44,000円~49,5000(インレー)121,000円(冠) ◎プレミアム・ジルコニア(【美しさと強さの最高峰】従来のジルコニアに天然歯のような透明感とグラデーションをプラス。強度と見た目の両方を求める奥歯に最適です。高透過タイプ) ・132,000円(冠) |
||||||||||
| ホワイトニング | 当院ではホームホワイトニングを採用(自宅でホワイトニング用のマウスピースに薬液を使って装着する方法)。 ゆっくり時間をかけて白くしていくので効果の持続時間がオフィスホームホワイトニングに比べて長くなり、時間は少しかかるが後戻りの速さは遅くなる。 ・27,500円(両顎)16,500円(片顎) |
||||||||||
| その他ゴールドなどの修復法はご相談ください。 ■ 当院のこだわり:精密な適合への追求 歯を長持ちさせるためには、被せ物と自分の歯の間に「隙間」を作らないことが最も重要です。当院では、一つひとつの工程において丁寧な形成と調整を心がけています。また、より高い精度を追求するため、必要に応じて歯科用拡大鏡などの精密機器を活用し、ミクロン単位の適合を目指した治療に取り組んでいます。 ■ 安心の3年保証制度 自費診療(自由診療)の被せ物・詰め物には、3年間の保証期間を設けております。 ※保証の適用には、当院が指定する定期検診(原則半年ごとに1回以上)の受診が必要となります。 ■ナイトガードの使用: 歯ぎしりや食いしばりの傾向があり、当院がナイトガード(マウスピース)を作製・指示した場合は、その使用を継続してください。 ※上記をお守りいただけなかった期間がある場合、保証の対象外となることがございます。 ■ 料金表(土台・仮歯代・保証料込み) ※表示価格はすべて税込み価格です。 |
|||||||||||
| クイック審美充填 | 当院こだわりの白い詰め物「クイック審美充填」 「保険のプラスチックでは満足できない」「時間が経っても変色しにくい、自然な歯を取り戻したい」 そんなご要望にお応えし、審美性と耐久性を追求した自費専用のレジン修復メニューをご用意しました。 クイック審美充填の2つのこだわり 1.「境目がわからない」ほど自然な馴染み 天然の歯が持つ「光の通り方」を再現する特殊な材料を使用しています。周囲の歯の色と光学的に一体化するため、詰め物特有の「不自然な白さ」がなく、どこを直したか気づかれないほどの仕上がりになります。 2.セラミックのような光沢と持続性 一般的な保険の材料に比べ、表面が極めて滑らかに仕上がります。コーヒーや茶渋などの着色がつきにくく、磨き上げた際の美しい光沢が長く続くのが特徴です。 料金のご案内 治療範囲(大きさ)に応じた一律の料金設定です。
※虫歯の大きさや噛み合わせによっては、被せ物をご提案する場合もあります。 安心の1年間保証 本メニューで治療した部位については、「1年間の無償保証」を設けております。 保証条件: 良好な状態を維持するため、当院での定期検診(メインテナンス)を継続して受けていただいている方を対象とさせていただきます。 万が一の脱離や破損の際は、無償で再修復いたします。 ②の部分に①のような変色が認められたため『ダイレクトボンディング(直接修復)』という手法をベースに、より短時間で美しく仕上げる『クイック審美充填』を行いました。当院のクイック審美充填は、高密度なセラミック粒子を配合した強度の高い材料を使用しています。金属のインレーと違い、歯と一体化して接着するため、歯を割れにくくする効果も期待できます。 |
||||||||||

②の部分に①のような変色が認められたため『ダイレクトボンディング(直接修復)』という手法をベースに、より短時間で美しく仕上げる『クイック審美充填』を行いました。
