スマイルデンチャー
| 一般的なタイプ | |
|---|---|
| コバルトクロム + |
|
| シリコン裏層 タイプ |
|
| シリコン + 金属 |
|
| + チタン |
|
| 比較 |
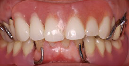
| 保険の入れ歯 | ![]() |
|---|---|
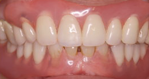
| スマイルデンチャー装着 | ![]() |
| スマイルデンチャーが薄くて割れないのはFDA(米国食品医薬品局)の審査に合格した「ポリアミド樹脂」を使用しているためです。薄くて割れないので金属のバネを入れ歯からなくすことができました。 | |
| 一般的なタイプ | |
|---|---|
| コバルトクロム + |
|
| シリコン裏層 タイプ |
|
| シリコン + 金属 |
|
| + チタン |
|
| 比較 |
| 保険の入れ歯 | ![]() |
|---|---|
| スマイルデンチャー装着 | ![]() |
| スマイルデンチャーが薄くて割れないのはFDA(米国食品医薬品局)の審査に合格した「ポリアミド樹脂」を使用しているためです。薄くて割れないので金属のバネを入れ歯からなくすことができました。 | |